反應種屬: Human
標 記 物: Unconjugate
克隆類型: rabbit polyclonal
Background:a
HLA-DQB1 belongs to the HLA class II beta chain paralogs. This class II molecule is a heterodimer consisting of an alpha (DQA) and a beta chain (DQB), both anchored in the membrane. It plays a central role in the immune system by presenting peptides derived from extracellular proteins. Class II molecules are expressed in antigen presenting cells (APC: B lymphocytes, dendritic cells, macrophages). The beta chain is approximately 26-28 kDa and it contains six exons. Exon 1 encodes the leader peptide, exons 2 and 3 encode the two extracellular domains, exon 4 encodes the transmembrane domain and exon 5 encodes the cytoplasmic tail. Within the DQ molecule both the alpha chain and the beta chain contain the polymorphisms specifying the peptide binding specificities, resulting in up to four different molecules. Typing for these polymorphisms is routinely done for bone marrow transplantation. Alternative splicing results in multiple transcript variants.
Applications:
ELISA, IHC
Name of antibody:
HLA-DQB1
Immunogen:
Fusion protein of human HLA-DQB1
Full name:
major histocompatibility complex, class II, DQ beta 1
Synonyms:
IDDM1; CELIAC1; HLA-DQB
SwissProt:
P01920
ELISA Recommended dilution:
5000-10000
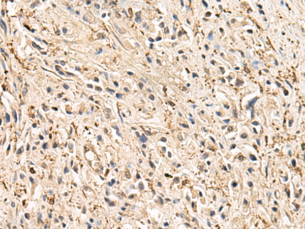
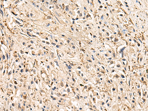
IHC positive control:
Human prostate cancer
IHC Recommend dilution:
25-100
技術規格

購物車
幫助
021-54845833/15800441009
