中文名稱: 兔抗MYCN多克隆抗體
英文名稱: Anti-MYCN rabbit polyclonal antibody
別 名: NMYC; ODED; MODED; N-myc; MYCNOT; bHLHe37
相關類別: 一抗
儲 存: 冷凍(-20℃)
宿 主: Rabbit
抗 原: MYCN
反應種屬: Human, Mouse, Rat
標 記 物: Unconjugate
克隆類型: rabbit polyclonal
技術規格
|
Background: |
This gene is a member of the MYC family and encodes a protein with a basic helix-loop-helix (bHLH) domain. This protein is located in the nucleus and must dimerize with another bHLH protein in order to bind DNA. Amplification of this gene is associated with a variety of tumors, most notably neuroblastomas. Multiple alternatively spliced transcript variants encoding different isoforms have been found for this gene. |
|
Applications: |
ELISA, WB, IHC |
|
Name of antibody: |
MYCN |
|
Immunogen: |
Synthetic peptide of human MYCN |
|
Full name: |
MYCN proto-oncogene, bHLH transcription factor |
|
Synonyms: |
NMYC; ODED; MODED; N-myc; bHLHe37 |
|
SwissProt: |
P04198 |
|
ELISA Recommended dilution: |
5000-10000 |
|
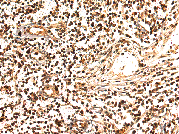
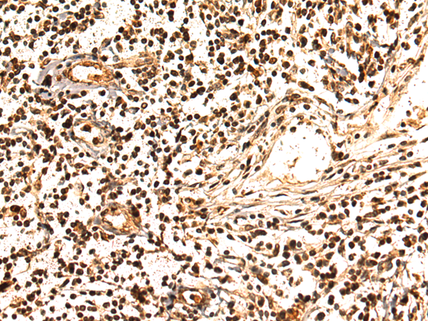
IHC positive control: |
Human breast cancer |
|
IHC Recommend dilution: |
50-100 |
|
WB Predicted band size: |
50 kDa |
|
WB Positive control: |
293T cell lysate |
|
WB Recommended dilution: |
200-1000 |


購物車
幫助
021-54845833/15800441009
