中文名稱:兔抗ARSD多克隆抗體
|
Background: |
The protein encoded by this gene is a member of the sulfatase family. Sulfatases are essential for the correct composition of bone and cartilage matrix. The encoded protein is postranslationally glycosylated and localized to the lysosome. This gene is located within a cluster of similar arylsulfatase genes on chromosome X. A related pseudogene has been identified in the pseudoautosomal region of chromosome Y. |
|
Applications: |
IHC, IF |
|
Name of antibody: |
ARSD |
|
Immunogen: |
Synthesized peptide derived from internal of human ARSD. |
|
Full name: |
arylsulfatase D |
|
Synonyms: |
ASD |
|
SwissProt: |
P51689 |
|
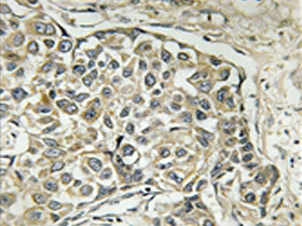
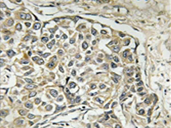
IHC positive control: |
Human lung carcinoma tissue |
|
IHC Recommend dilution: |
50-100 |
|
IF positive control: |
MCF-7 cells |
|
IF Recommend dilution: |
100-500 |
購物車
幫助
021-54845833/15800441009
