中文名稱:兔抗C9orf116多克隆抗體
|
Background: |
C9orf116, also known as PIERCE1. PIERCE1 is an important p53 target gene contributing to normal DNA damage response and may play crucial roles in maintaining genomic integrity against genotoxic stresses, including UVC irradiation. PIERCE1 exists as two alternatively spliced isoforms and is predominantly expressed in human small cell lung cancer. PIERCE1 knockdown induces down-regulation of proapoptotic genes including Ei24, Apaf1 and PTEN, suggesting that PIERCE1 is a proapoptotic gene. It is helpful for in-depth understanding of p53 pathways and the design of new cancer therapies. |
|
Applications: |
ELISA, IHC |
|
Name of antibody: |
C9orf116 |
|
Immunogen: |
Fusion protein of human C9orf116 |
|
Full name: |
chromosome 9 open reading frame 116 |
|
Synonyms: |
PIERCE1; RbEST47 |
|
SwissProt: |
Q5BN46 |
|
ELISA Recommended dilution: |
5000-10000 |
|
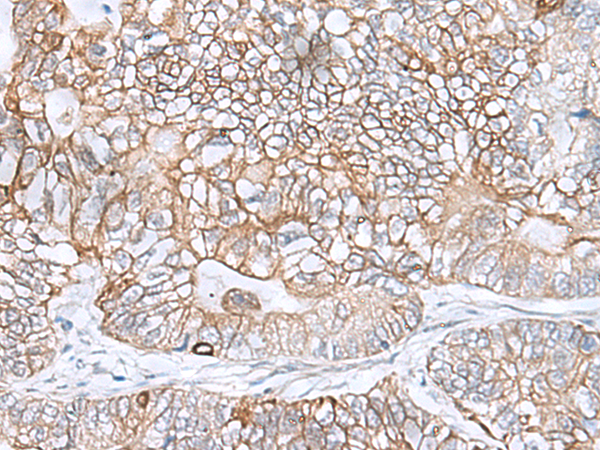
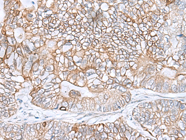
IHC positive control: |
Human gastric cancer |
|
IHC Recommend dilution: |
25-100 |

購物車
幫助
021-54845833/15800441009
