中文名稱: 兔抗ATF1多克隆抗體
|
Background: |
This gene encodes an activating transcription factor, which belongs to the ATF subfamily and bZIP (basic-region leucine zipper) family. It influences cellular physiologic processes by regulating the expression of downstream target genes, which are related to growth, survival, and other cellular activities. This protein is phosphorylated at serine 63 in its kinase-inducible domain by serine/threonine kinases, cAMP-dependent protein kinase A, calmodulin-dependent protein kinase I/II, mitogen- and stress-activated protein kinase and cyclin-dependent kinase 3 (cdk-3). Its phosphorylation enhances its transactivation and transcriptional activities, and enhances cell transformation. Fusion of this gene and FUS on chromosome 16 or EWSR1 on chromosome 22 induced by translocation generates chimeric proteins in angiomatoid fibrous histiocytoma and clear cell sarcoma. This gene has a pseudogene on chromosome 6. |
|
Applications: |
ELISA, WB, IHC |
|
Name of antibody: |
ATF1 |
|
Immunogen: |
Synthetic peptide of human ATF1 |
|
Full name: |
activating transcription factor 1 |
|
Synonyms: |
TREB36; EWS-ATF1; FUS/ATF-1 |
|
SwissProt: |
P18846 |
|
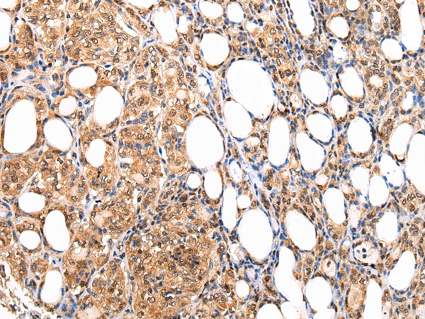
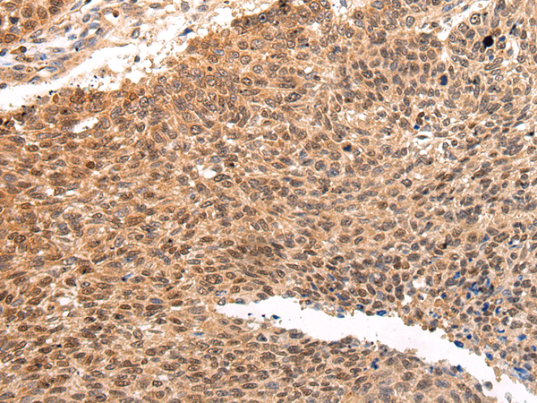
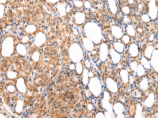
IHC positive control: |
Human lung cancer and human thyroid cancer |
|
IHC Recommend dilution: |
25-100 |
|
WB Predicted band size: |
29 kDa |
|
WB Positive control: |
Hela cell lysate |
|
WB Recommended dilution: |
500-2000 |
購(gòu)物車
幫助
021-54845833/15800441009
