| 
					 Background:  | 
				
					 This gene encodes a WD repeat-containing protein that interacts with the COP9 signalosome, a macromolecular complex that interacts with cullin-RING E3 ligases and regulates their activity by hydrolyzing cullin-Nedd8 conjugates.  | 
			
| 
					 Applications:  | 
				
					 ELISA, IHC  | 
			
| 
					 Name of antibody:  | 
				
					 DCAF12  | 
			
| 
					 Immunogen:  | 
				
					 Synthetic peptide of human DCAF12  | 
			
| 
					 Full name:  | 
				
					 DDB1 and CUL4 associated factor 12  | 
			
| 
					 Synonyms:  | 
				
					 CT102; TCC52; WDR40A; KIAA1892  | 
			
| 
					 SwissProt:  | 
				
					 Q5T6F0  | 
			
| 
					 ELISA Recommended dilution:  | 
				
					 5000-10000  | 
			
| 
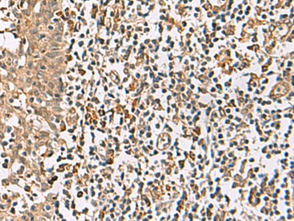
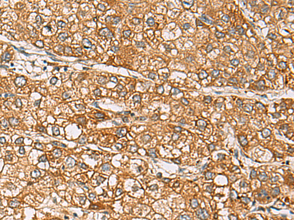
					 IHC positive control:  | 
				
					 Human liver cancer and Human tonsil  | 
			
| 
					 IHC Recommend dilution:  | 
				
					 50-200  | 
			
	
	
購物車
幫助
021-54845833/15800441009
              