中文名稱: 兔抗ATR多克隆抗體
|
Background: |
The protein encoded by this gene belongs the PI3/PI4-kinase family, and is most closely related to ATM, a protein kinase encoded by the gene mutated in ataxia telangiectasia. This protein and ATM share similarity with Schizosaccharomyces pombe rad3, a cell cycle checkpoint gene required for cell cycle arrest and DNA damage repair in response to DNA damage. This kinase has been shown to phosphorylate checkpoint kinase CHK1, checkpoint proteins RAD17, and RAD9, as well as tumor suppressor protein BRCA1. Mutations of this gene are associated with Seckel syndrome. An alternatively spliced transcript variant of this gene has been reported, however, its full length nature is not known. Transcript variants utilizing alternative polyA sites exist. |
|
Applications: |
ELISA, IHC |
|
Name of antibody: |
ATR |
|
Immunogen: |
Synthetic peptide of human ATR |
|
Full name: |
ATR serine/threonine kinase |
|
Synonyms: |
FRP1; MEC1; SCKL; FCTCS; SCKL1 |
|
SwissProt: |
Q13535 |
|
ELISA Recommended dilution: |
5000-10000 |
|
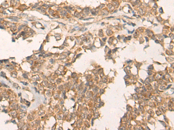
IHC positive control: |
Human ovarian cancer |
|
IHC Recommend dilution: |
40-200 |

購物車
幫助
021-54845833/15800441009
