中文名稱:兔抗ALYREF多克隆抗體
英文名稱: Anti-ALYREF rabbit polyclonal antibody
別 名: ALY; BEF; REF; THOC4; ALY/REF
相關類別: 一抗
儲 存: 冷凍(-20℃)
宿 主: Rabbit
抗 原: ALYREF
反應種屬: Human, Mouse
標 記 物: Unconjugate
克隆類型: rabbit polyclonal
技術規格
|
Background: |
The protein encoded by this gene is a heat stable, nuclear protein and functions as a molecular chaperone. It is thought to regulate dimerization, DNA binding, and transcriptional activity of basic region-leucine zipper (bZIP) proteins. |
|
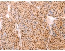
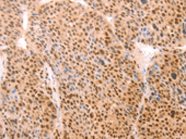
Applications: |
ELISA, IHC |
|
Name of antibody: |
ALYREF |
|
Immunogen: |
Synthetic peptide of human ALYREF |
|
Full name: |
Aly/REF export factor |
|
Synonyms: |
ALY; BEF; REF; THOC4; ALY/REF |
|
SwissProt: |
Q86V81 |
|
ELISA Recommended dilution: |
2000-5000 |
|
IHC positive control: |
Human liver cancer and Human lymphoma |
|
IHC Recommend dilution: |
25-100 |
購物車
幫助
021-54845833/15800441009
