中文名稱:兔抗BCL2多克隆抗體
|
Background: |
This gene encodes an integral outer mitochondrial membrane protein that blocks the apoptotic death of some cells such as lymphocytes. Constitutive expression of BCL2, such as in the case of translocation of BCL2 to Ig heavy chain locus, is thought to be the cause of follicular lymphoma. Two transcript variants, produced by alternate splicing, differ in their C-terminal ends. |
|
Applications: |
ELISA, WB, IHC |
|
Name of antibody: |
BCL2 |
|
Immunogen: |
Synthetic peptide of human BCL2 |
|
Full name: |
B-cell CLL/lymphoma 2 |
|
SwissProt: |
P10415 |
|
ELISA Recommended dilution: |
2000-5000 |
|
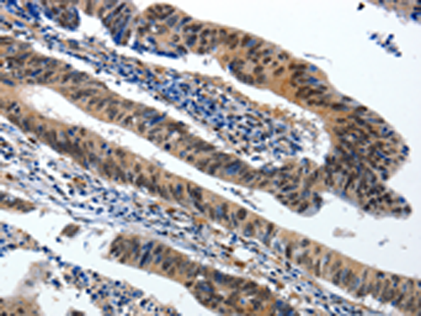
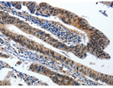
IHC positive control: |
Human colorectal cancer and Human liver cancer |
|
IHC Recommend dilution: |
25-100 |
|
WB Predicted band size: |
22 kDa |
|
WB Positive control: |
Hela cells |
|
WB Recommended dilution: |
500-2000 |


購物車
幫助
021-54845833/15800441009
