中文名稱:兔抗CCNJ多克隆抗體
英文名稱: Anti-CCNJ rabbit polyclonal antibody
別 名: bA690P14.1
抗 原: CCNJ
相關類別: 一抗
儲 存: 冷凍(-20℃)
宿 主: Rabbit
反應種屬: Human, Mouse
標 記 物: Unconjugate
克隆類型: rabbit polyclonal
|
Background: |
Cyclin J is a 372 amino acid protein encoded by the human gene CCNJ located on chromosome 10. Cyclin J belongs to the cyclin family and contains one cyclin N-terminal domain. A cyclin forms a complex with its partner cyclin-dependent kinase (Cdk), which activates the protein kinase function of the Cdk. Cyclins are so named because their concentration varies in a cyclical fashion during the cell cycle. They are produced or degraded as needed in order to drive the cell through the different stages of the cell cycle. When its concentrations in the cell are low, the cyclin detaches from the Cdk, inhibiting the activity of the enzyme, probably by causing a protein chain to block the enzymatic site. Cyclin J-associated kinase activity is required for the early embryonic division cycles. |
|
Applications: |
ELISA, WB, IHC |
|
Name of antibody: |
CCNJ |
|
Immunogen: |
Synthetic peptide of human CCNJ |
|
Full name: |
cyclin J |
|
Synonyms: |
bA690P14.1 |
|
SwissProt: |
Q5T5M9 |
|
ELISA Recommended dilution: |
5000-10000 |
|
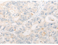
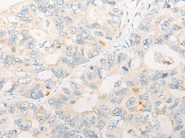
IHC positive control: |
Human gastric cancer; |
|
IHC Recommend dilution: |
10-50 |
|
WB Predicted band size: |
43 kDa |
|
WB Positive control: |
K562 cell lysate |
|
WB Recommended dilution: |
200-1000 |

購物車
幫助
021-54845833/15800441009
