中文名稱:兔抗CCND2多克隆抗體
別 名: KIAK0002
相關類別: 一抗
儲 存: 冷凍(-20℃)
宿 主: Rabbit
抗 原: CCND2
反應種屬: Human
標 記 物: Unconjugate
克隆類型: rabbit polyclonal
技術規格
|
Background: |
The protein encoded by this gene belongs to the highly conserved cyclin family, whose members are characterized by a dramatic periodicity in protein abundance through the cell cycle. Cyclins function as regulators of CDK kinases. Different cyclins exhibit distinct expression and degradation patterns which contribute to the temporal coordination of each mitotic event. This cyclin forms a complex with and functions as a regulatory subunit of CDK4 or CDK6, whose activity is required for cell cycle G1/S transition. This protein has been shown to interact with and be involved in the phosphorylation of tumor suppressor protein Rb. Knockout studies of the homologous gene in mouse suggest the essential roles of this gene in ovarian granulosa and germ cell proliferation. High level expression of this gene was observed in ovarian and testicular tumors. |
|
Applications: |
ELISA, IHC |
|
Name of antibody: |
CCND2 |
|
Immunogen: |
Synthetic peptide of human CCND2 |
|
Full name: |
Cyclin D2 |
|
Synonyms: |
KIAK0002 |
|
SwissProt: |
P30279 |
|
ELISA Recommended dilution: |
500-5000 |
|
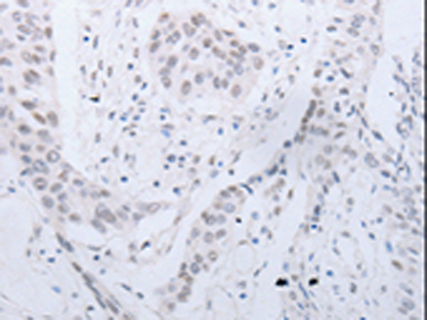
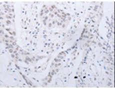
IHC positive control: |
Human esophagus cancer |
|
IHC Recommend dilution: |
10-50 |

購物車
幫助
021-54845833/15800441009
