中文名稱:兔抗BCR (Phospho-Tyr177)多克隆抗體
|
Background: |
A reciprocal translocation between chromosomes 22 and 9 produces the Philadelphia chromosome, which is often found in patients with chronic myelogenous leukemia. The chromosome 22 breakpoint for this translocation is located within the BCR gene. The translocation produces a fusion protein which is encoded by sequence from both BCR and ABL, the gene at the chromosome 9 breakpoint. Although the BCR-ABL fusion protein has been extensively studied, the function of the normal BCR gene product is not clear. The protein has serine/threonine kinase activity and is a GTPase-activating protein for p21rac. Two transcript variants encoding different isoforms have been found for this gene. |
|
Applications: |
WB, IHC |
|
Name of antibody: |
BCR (Phospho-Tyr177) |
|
Immunogen: |
Synthetic peptide of human BCR (Phospho-Tyr177) |
|
Full name: |
breakpoint cluster region (Phospho-Tyr177) |
|
Synonyms: |
ALL; CML; PHL; BCR1; D22S11; D22S662 |
|
SwissProt: |
P11274 |
|
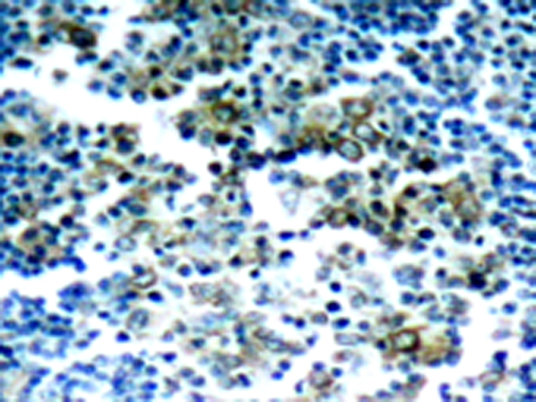
IHC positive control: |
Human tonsil tumor |
|
IHC Recommend dilution: |
50-100 |
|
WB Predicted band size: |
210 kDa |
|
WB Positive control: |
K562 cells untreated or treated with H2O2 |
|
WB Recommended dilution: |
500-1000 |


購物車
幫助
021-54845833/15800441009
