中文名稱:兔抗BORA多克隆抗體
|
Background: |
Aurora related kinase-1 (ARK-1) is a centrosome-associated serine/threonine kinase that regulates centrosome separation, bipolar spindle assembly and chromosome segregation during mitosis. Bora (protein aurora borealis) is a 559 amino acid protein that activates ARK-1. Bora is localized to the nucleus until mitosis is initiated, when it then translocates to the cytoplasm. This translocation is dependent on activated Cdc2, which releases Bora to bind and activate ARK-1 in the cytoplasm. Plk (polo-like kinase) interacts with Bora to control the accessibility of its activation loop for phosphorylation and activation on its N-terminus by ARK-1. It is through this mechanism that Bora and ARK-1 control cellular mitotic entry. Downregulation of the gene encoding Bora results in multipolar spindles in mitosis, a phenomenon that is also observed when ARK-1 function is blocked. |
|
Applications: |
ELISA, WB, IHC |
|
Name of antibody: |
BORA |
|
Immunogen: |
Synthetic peptide of human BORA |
|
Full name: |
bora, aurora kinase A activator |
|
Synonyms: |
C13orf34 |
|
SwissProt: |
Q6PGQ7 |
|
ELISA Recommended dilution: |
5000-10000 |
|
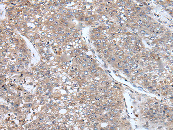
IHC positive control: |
Human liver cancer |
|
IHC Recommend dilution: |
50-300 |
|
WB Predicted band size: |
61 kDa |
|
WB Positive control: |
K562 and Hela cell lysates |
|
WB Recommended dilution: |
500-2000 |


購物車
幫助
021-54845833/15800441009
