中文名稱: 兔抗NTRK2多克隆抗體
英文名稱: Anti-NTRK2 rabbit polyclonal antibody
別 名: neurotrophic receptor tyrosine kinase 2 TRKB; trk-B; GP145-TrkB
相關類別: 一抗
儲 存: 冷凍(-20℃)
宿 主: Rabbit
抗 原: NTRK2
反應種屬: Human, Mouse, Rat
標 記 物: Unconjugate
克隆類型: rabbit polyclonal
技術規格
|
Background: |
This gene encodes a member of the neurotrophic tyrosine receptor kinase (NTRK) family. This kinase is a membrane-bound receptor that, upon neurotrophin binding, phosphorylates itself and members of the MAPK pathway. Signalling through this kinase leads to cell differentiation. Mutations in this gene have been associated with obesity and mood disorders. Alternative splicing results in multiple transcript variants. |
|
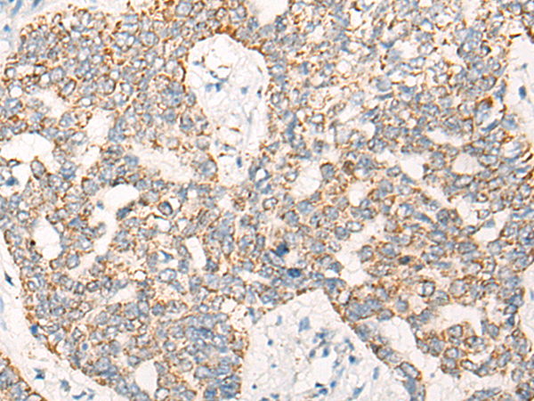
Applications: |
ELISA, IHC |
|
Name of antibody: |
NTRK2 |
|
Immunogen: |
Fusion protein of human NTRK2 |
|
Full name: |
neurotrophic receptor tyrosine kinase 2 |
|
Synonyms: |
TRKB; trk-B; GP145-TrkB |
|
SwissProt: |
Q16620 |
|
ELISA Recommended dilution: |
5000-10000 |
|
IHC positive control: |
Human liver cancer |
|
IHC Recommend dilution: |
20-100 |

購物車
幫助
021-54845833/15800441009
