中文名稱:兔抗CARD14多克隆抗體
英文名稱: Anti-CARD14 rabbit polyclonal antibody
別 名: PRP; PSS1; BIMP2; CARMA2; PSORS2
相關類別: 一抗
儲 存: 冷凍(-20℃)
抗 原: CARD14
宿 主: Rabbit
反應種屬: Human
標 記 物: Unconjugate
克隆類型: rabbit polyclonal
技術規格
|
Background: |
This gene encodes a caspase recruitment domain-containing protein that is a member of the membrane-associated guanylate kinase (MAGUK) family of proteins. Members of this protein family are scaffold proteins that are involved in a diverse array of cellular processes including cellular adhesion, signal transduction and cell polarity control. This protein has been shown to specifically interact with BCL10, a protein known to function as a positive regulator of cell apoptosis and NF-kappaB activation. Alternate splicing results in multiple transcript variants. |
|
Applications: |
ELISA, WB, IHC |
|
Name of antibody: |
CARD14 |
|
Immunogen: |
Fusion protein of human CARD14 |
|
Full name: |
caspase recruitment domain family, member 14 |
|
Synonyms: |
PRP; PSS1; BIMP2; CARMA2; PSORS2 |
|
SwissProt: |
Q9BXL6 |
|
ELISA Recommended dilution: |
1000-2000 |
|
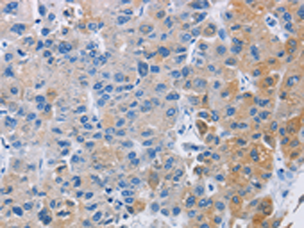
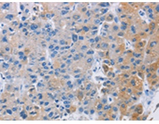
IHC positive control: |
Human liver cancer and human thyroid cancer |
|
IHC Recommend dilution: |
25-100 |
|
WB Predicted band size: |
113 kDa |
|
WB Positive control: |
Human fetal brain tissue |
|
WB Recommended dilution: |
200-1000 |


購物車
幫助
021-54845833/15800441009
