|
Background: |
This gene encodes fibronectin, a glycoprotein present in a soluble dimeric form in plasma, and in a dimeric or multimeric form at the cell surface and in extracellular matrix. Fibronectin is involved in cell adhesion and migration processes including embryogenesis, wound healing, blood coagulation, host defense, and metastasis. The gene has three regions subject to alternative splicing, with the potential to produce 20 different transcript variants. However, the full-length nature of some variants has not been determined. |
|
Applications: |
ELISA, IHC |
|
Name of antibody: |
FN1 |
|
Immunogen: |
Fusion protein of human FN1 |
|
Full name: |
fibronectin 1 |
|
Synonyms: |
FN; CIG; FNZ; MSF; ED-B; FINC; GFND; LETS; GFND2 |
|
SwissProt: |
P02751 |
|
ELISA Recommended dilution: |
2000-5000 |
|
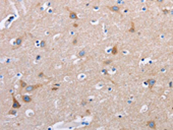
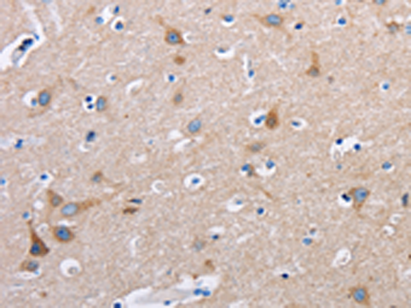
IHC positive control: |
Human brain and human thyroid cancer |
|
IHC Recommend dilution: |
50-200 |

購(gòu)物車
幫助
021-54845833/15800441009
