中文名稱:兔抗WNT5A多克隆抗體
英文名稱 : Anti-WNT5A rabbit polyclonal antibody
別 名: hWNT5A
相關類別: 一抗
儲 存: 冷凍(-20℃)
宿 主: Rabbit
抗 原: WNT5A
反應種屬: Human, Mouse, Rat
標 記 物: Unconjugate
克隆類型: rabbit polyclonal
技術規格
|
Background: |
The WNT gene family consists of structurally related genes which encode secreted signaling proteins. These proteins have been implicated in oncogenesis and in several developmental processes, including regulation of cell fate and patterning during embryogenesis. This gene encodes a member of the WNT family that signals through both the canonical and non-canonical WNT pathways. This protein is a ligand for the seven transmembrane receptor frizzled-5 and the tyrosine kinase orphan receptor 2. This protein plays an essential role in regulating developmental pathways during embryogenesis. This protein may also play a role in oncogenesis. Mutations in this gene are the cause of autosomal dominant Robinow syndrome. Alternate splicing results in multiple transcript variants. |
|
Applications: |
ELISA, IHC |
|
Name of antibody: |
WNT5A |
|
Immunogen: |
Synthetic peptide of human WNT5A |
|
Full name: |
wingless-type MMTV integration site family member 5A |
|
Synonyms: |
hWNT5A |
|
SwissProt: |
P41221 |
|
ELISA Recommended dilution: |
5000-10000 |
|
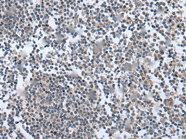
IHC positive control: |
Human tonsil |
|
IHC Recommend dilution: |
10-50 |
購物車
幫助
021-54845833/15800441009
