中文名稱:兔抗CCL16多克隆抗體
英文名稱: Anti-CCL16 rabbit polyclonal antibody
別 名: C-C motif chemokine ligand 16 LEC; LMC; NCC4; CKb12; HCC-4; LCC-1; Mtn-1; NCC-4; SCYL4; ILINCK; SCYA16
相關類別: 一抗
抗 原: CCL16
儲 存: 冷凍(-20℃)
宿 主: Rabbit
反應種屬: Human
標 記 物: Unconjugate
克隆類型: rabbit polyclonal
技術規格
|
Background: |
This gene is one of several cytokine genes clustered on the q-arm of chromosome 17. Cytokines are a family of secreted proteins involved in immunoregulatory and inflammatory processes. The CC cytokines are proteins characterized by two adjacent cysteines. The cytokine encoded by this gene displays chemotactic activity for lymphocytes and monocytes but not for neutrophils. This cytokine also shows a potent myelosuppressive activity and suppresses proliferation of myeloid progenitor cells. The expression of this gene is upregulated by IL-10. |
|
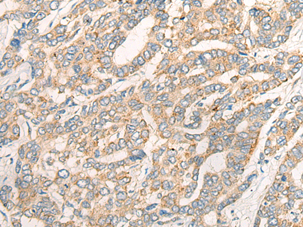
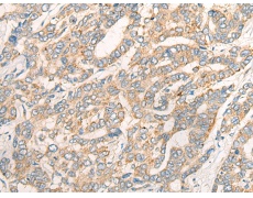
Applications: |
ELISA, IHC |
|
Name of antibody: |
CCL16 |
|
Immunogen: |
Synthetic peptide of human CCL16 |
|
Full name: |
C-C motif chemokine ligand 16 |
|
Synonyms: |
LEC; LMC; NCC4; CKb12; HCC-4; LCC-1; Mtn-1; NCC-4; SCYL4; ILINCK; SCYA16 |
|
SwissProt: |
O15467 |
|
ELISA Recommended dilution: |
5000-10000 |
|
IHC positive control: |
Human liver cancer; |
|
IHC Recommend dilution: |
30-150 |

購物車
幫助
021-54845833/15800441009
