中文名稱:兔抗WNT8B多克隆抗體
英文名稱: Anti-WNT8B rabbit polyclonal antibody
相關類別: 一抗
儲 存: 冷凍(-20℃)
宿 主: Rabbit
抗 原: WNT8B
反應種屬: Human
標 記 物: Unconjugate
克隆類型: rabbit polyclonal
技術規格
|
Background: |
The WNT gene family consists of structurally related genes which encode secreted signaling proteins. These proteins have been implicated in oncogenesis and in several developmental processes, including regulation of cell fate and patterning during embryogenesis. This gene is a member of the WNT gene family. It encodes a protein which shows 95%, 86% and 71% amino acid identity to the mouse, zebrafish and Xenopus Wnt8B proteins, respectively. The expression patterns of the human and mouse genes appear identical and are restricted to the developing brain. The chromosomal location of this gene to 10q24 suggests it as a candidate gene for partial epilepsy. |
|
Applications: |
ELISA, IHC |
|
Name of antibody: |
WNT8B |
|
Immunogen: |
Synthetic peptide of humanWNT8B |
|
Full name: |
wingless-type MMTV integration site family, member 8B |
|
SwissProt: |
Q93098 |
|
ELISA Recommended dilution: |
1000-2000 |
|
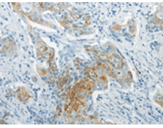
IHC positive control: |
Human cervical cancer |
|
IHC Recommend dilution: |
10-50 |
購物車
幫助
021-54845833/15800441009
