中文名稱:兔抗CCN3多克隆抗體
英文名稱: Anti-CCN3 rabbit polyclonal antibody
別 名: cellular communication network factor 3; NOV; NOVh
相關類別: 一抗
抗 原: CCN3
儲 存: 冷凍(-20℃)
宿 主: Rabbit
反應種屬: Human, Mouse, Rat
標 記 物: Unconjugate
克隆類型: rabbit polyclonal
技術規格
|
Background: |
The protein encoded by this gene is a small secreted cysteine-rich protein and a member of the CCN family of regulatory proteins. CNN family proteins associate with the extracellular matrix and play an important role in cardiovascular and skeletal development, fibrosis and cancer development. [provided by RefSeq, Feb 2009] |
|
Applications: |
ELISA, WB, IHC |
|
Name of antibody: |
CCN3 |
|
Immunogen: |
Fusion protein of human CCN3 |
|
Full name: |
cellular communication network factor 3 |
|
Synonyms: |
NOV; NOVh; IBP-9; IGFBP9; IGFBP-9 |
|
SwissProt: |
P48745 |
|
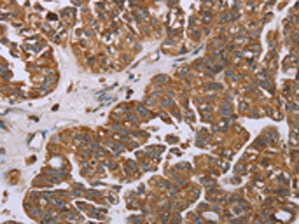
IHC positive control: |
Human ovarian cancer and Human liver cancer |
|
IHC Recommend dilution: |
25-100 |
|
WB Predicted band size: |
39 kDa |
|
WB Positive control: |
Mouse liver tissue |
|
WB Recommended dilution: |
500-2000 |
購物車
幫助
021-54845833/15800441009
