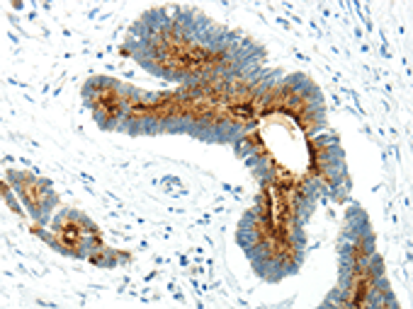
中文名稱: 兔抗WWOX多克隆抗體
英文名稱: Anti-WWOX rabbit polyclonal antibody
別 名: FOR; WOX1; EIEE28; FRA16D; SCAR12; HHCMA56; PRO0128; SDR41C1; D16S432E
相關類別: 一抗
儲 存: 冷凍(-20℃)
宿 主: Rabbit
抗 原: WWOX
反應種屬: Human
標 記 物: Unconjugate
克隆類型: rabbit polyclonal
技術規格
|
Background: |
This gene encodes a member of the short-chain dehydrogenases/reductases (SDR) protein family. This gene spans the FRA16D common chromosomal fragile site and appears to function as a tumor suppressor gene. Expression of the encoded protein is able to induce apoptosis, while defects in this gene are associated with multiple types of cancer. Disruption of this gene is also associated with autosomal recessive spinocerebellar ataxia 12. |
|
Applications: |
ELISA, WB |
|
Name of antibody: |
WWOX |
|
Immunogen: |
Synthetic peptide of human WWOX |
|
Full name: |
WW domain containing oxidoreductase |
|
Synonyms: |
FOR; WOX1; EIEE28; FRA16D; SCAR12; HHCMA56; PRO0128; SDR41C1; D16S432E |
|
SwissProt: |
Q9NZC7 |
|
ELISA Recommended dilution: |
2000-5000 |
|
WB Predicted band size: |
47 kDa |
|
WB Positive control: |
Human fetal liver tissue and 231 cell |
|
WB Recommended dilution: |
500-2000 |

購物車
幫助
021-54845833/15800441009
