中文名稱:兔抗RPL3L多克隆抗體
英文名稱: Anti-RPL3L rabbit polyclonal antibody
儲 存: 冷凍(-20℃) 避光
抗 原: RPL3L
宿 主: Rabbit
反應種屬: Human
相關類別: 一抗
標記物: Unconjugate
克隆類型: Unconjugate
技術規格
|
Background: |
This gene encodes a protein that shares sequence similarity with ribosomal protein L3. The protein belongs to the L3P family of ribosomal proteins. Unlike the ubiquitous expression of ribosomal protein genes, this gene has a tissue-specific pattern of expression, with the highest levels of expression in skeletal muscle and heart. It is not currently known whether the encoded protein is a functional ribosomal protein or whether it has evolved a function that is independent of the ribosome. |
|
Applications: |
IHC, IF |
|
Name of antibody: |
RPL3L |
|
Immunogen: |
Synthesized peptide derived from internal of human RPL3L. |
|
Full name: |
ribosomal protein L3-like |
|
Synonyms: |
0 |
|
SwissProt: |
Q92901 |
|
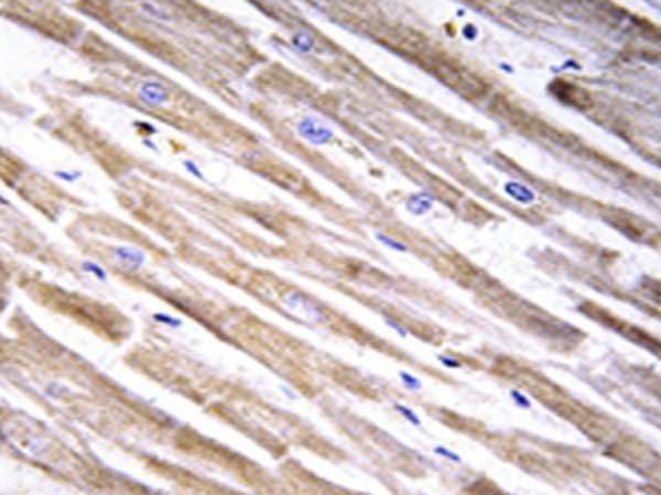
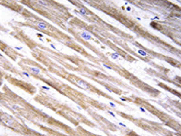
IHC positive control: |
Human heart tissue |
|
IHC Recommend dilution: |
50-100 |
|
IF positive control: |
MCF-7 cells |
|
IF Recommend dilution: |
100-500 |


購物車
幫助
021-54845833/15800441009
