|
Background: |
Microtubules, the primary component of the cytoskeletal network, are highly dynamic structures composed of α/β Tubulin heterodimers. Biosynthesis of functional microtubules involve the participation of several chaperones, termed Tubulin folding cofactors A (TBCA), B (TBCB), D (TBCD), E (TBCE) and C (TBCC), that act on folding intermediates downstream of the cytosolic chaperon, alternatively named TCP. TBCB (tubulin folding cofactor B), also known as CG22, CKAP1 or CKAPI, is a 244 amino acid cytoplasmic protein containing one CAP-Gly domain and in widely expressed. TBCB is involved in the regulation of tubulin heterodimer dissociation and may function as a negative regulator of axonal growth. |
|
Applications: |
ELISA, WB, IHC |
|
Name of antibody: |
TBCB |
|
Immunogen: |
Full length fusion protein |
|
Full name: |
tubulin folding cofactor B |
|
Synonyms: |
CG22; CKAP1; CKAPI |
|
SwissProt: |
Q99426 |
|
ELISA Recommended dilution: |
5000-10000 |
|
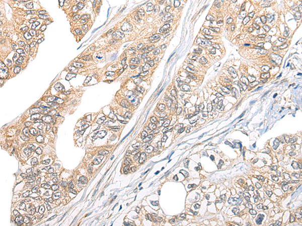
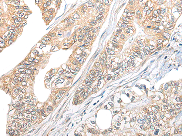
IHC positive control: |
Human gastric cancer |
|
IHC Recommend dilution: |
20-100 |
|
WB Predicted band size: |
27 kDa |
|
WB Positive control: |
Human cerebrum tissue lysate |
|
WB Recommended dilution: |
500-2000 |

購物車
幫助
021-54845833/15800441009
