中文名稱: 兔抗MRPS28多克隆抗體
英文名稱: Anti-MRPS28 rabbit polyclonal antibody
別 名: mitochondrial ribosomal protein S28; MRPS35; HSPC007; MRP-S28; MRP-S35
相關類別: 一抗
儲 存: 冷凍(-20℃)
宿 主: Rabbit
抗 原: MRPS28
反應種屬: Human
標 記 物: Unconjugate
克隆類型: rabbit polyclonal
技術規格
|
Background: |
Mammalian mitochondrial ribosomal proteins are encoded by nuclear genes and help in protein synthesis within the mitochondrion. Mitochondrial ribosomes (mitoribosomes) consist of a small 28S subunit and a large 39S subunit. They have an estimated 75% protein to rRNA composition compared to prokaryotic ribosomes, where this ratio is reversed. Another difference between mammalian mitoribosomes and prokaryotic ribosomes is that the latter contain a 5S rRNA. Among different species, the proteins comprising the mitoribosome differ greatly in sequence, and sometimes in biochemical properties, which prevents easy recognition by sequence homology. This gene encodes a 28S subunit protein that has been called mitochondrial ribosomal protein S35 in the literature. |
|
Applications: |
ELISA, WB, IHC |
|
Name of antibody: |
MRPS28 |
|
Immunogen: |
Fusion protein of human MRPS28 |
|
Full name: |
mitochondrial ribosomal protein S28 |
|
Synonyms: |
MRPS35; HSPC007; MRP-S28; MRP-S35 |
|
SwissProt: |
Q9Y2Q9 |
|
ELISA Recommended dilution: |
5000-10000 |
|
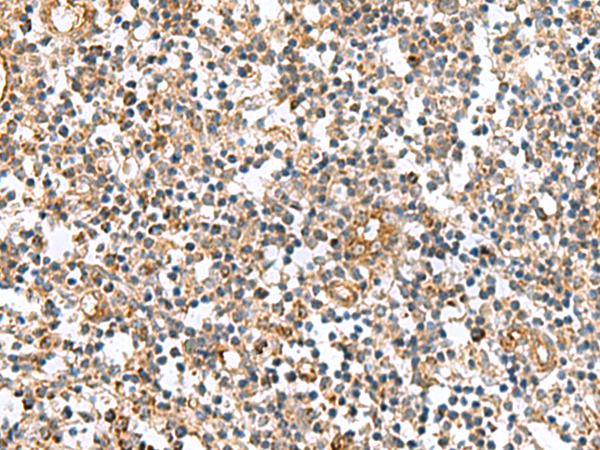
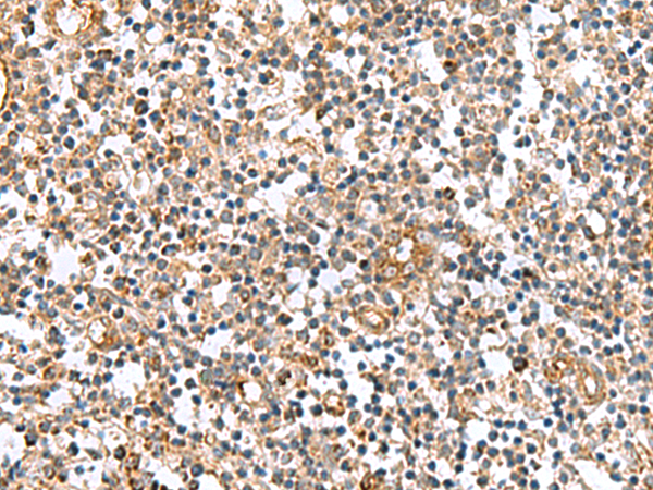
IHC positive control: |
Human tonsil and Human thyroid cancer |
|
IHC Recommend dilution: |
50-200 |
|
WB Predicted band size: |
21 kDa |
|
WB Positive control: |
HL-60 cell lysate |
|
WB Recommended dilution: |
500-2000 |



購物車
幫助
021-54845833/15800441009
