中文名稱:兔抗CCNL1多克隆抗體
英文名稱: Anti-CCNL1 rabbit polyclonal antibody
別 名: ANIA6A; BM-001; PRO1073; ania-6a
相關類別: 一抗
儲 存: 冷凍(-20℃) 避光
抗 原: CCNL1
宿 主: Rabbit
標 記 物: Unconjugate
克隆類型: Unconjugate
技術規格
|
Background: |
Transcriptional regulator which participates in regulating the pre-mRNA splicing process. Seems to be involved in the regulation of RNA polymerase II (pol II). Functions in association with cyclin-dependent kinases (CDKs) and has a role in the second step of splicing. May be a candidate proto-oncogene in head and neck squamous cell carcinomas (HNSCC). Inhibited by the CDK-specific inhibitor p21. |
|
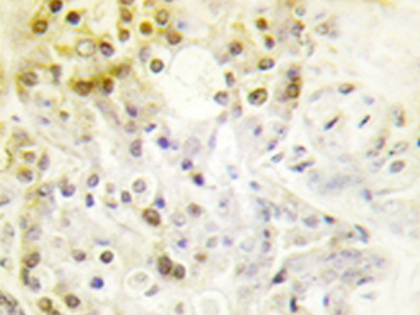
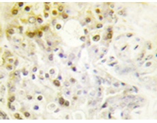
Applications: |
WB, IHC |
|
Name of antibody: |
CCNL1 |
|
Immunogen: |
Synthesized peptide derived from human Cyclin-L1. |
|
Full name: |
cyclin L1 |
|
Synonyms: |
ANIA6A; BM-001; PRO1073; ania-6a |
|
SwissProt: |
Q9UK58 |
|
IHC positive control: |
Human breast carcinoma tissue |
|
IHC Recommend dilution: |
50-100 |
|
WB Predicted band size: |
60 kDa |
|
WB Positive control: |
HepG2 cells lysate |
|
WB Recommended dilution: |
500-3000 |


購物車
幫助
021-54845833/15800441009
