中文名稱:兔抗CD33多克隆抗體
英文名稱: Anti-CD33 rabbit polyclonal antibody
別 名: p67; SIGLEC3; SIGLEC-3
相關類別: 一抗
抗 原: CD33
儲 存: 冷凍(-20℃)
宿 主: Rabbit
反應種屬: Human, Mouse
標 記 物: Unconjugate
克隆類型: rabbit polyclonal
技術規格
|
Background: |
CD33 or Siglec-3 is a transmembrane receptor expressed on cells of myeloid lineage. It is usually considered myeloid-specific, but it can also be found on some lymphoid cells. Putative adhesion molecule of myelomonocytic-derived cells that mediates sialic-acid dependent binding to cells. Preferentially binds to alpha-2,6-linked sialic acid. The sialic acid recognition site may be masked by cis interactions with sialic acids on the same cell surface. In the immune response, may act as an inhibitory receptor upon ligand induced tyrosine phosphorylation by recruiting cytoplasmic phosphatase(s) via their SH2 domain(s) that block signal transduction through dephosphorylation of signaling molecules. |
|
Applications: |
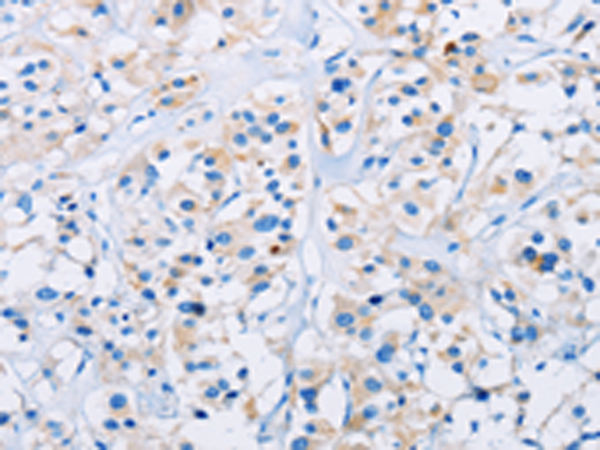
ELISA, WB, IHC |
|
Name of antibody: |
CD33 |
|
Immunogen: |
Fusion protein of human CD33 |
|
Full name: |
CD33 molecule |
|
Synonyms: |
p67; SIGLEC3; SIGLEC-3 |
|
SwissProt: |
P20138 |
|
ELISA Recommended dilution: |
1000-2000 |
|
IHC positive control: |
Human thyroid cancer |
|
IHC Recommend dilution: |
25-100 |
|
WB Predicted band size: |
40 kDa |
|
WB Positive control: |
Hela and NIH/3T3 cells |
|
WB Recommended dilution: |
200-1000 |


購物車
幫助
021-54845833/15800441009
