中文名稱:兔抗CDK5RAP3多克隆抗體
英文名稱: Anti-CDK5RAP3 rabbit polyclonal antibody
別 名: C53; IC53; LZAP; HSF-27; MST016; PP1553; OK/SW-cl.114
相關類別: 一抗
抗 原: CDK5RAP3
儲 存: 冷凍(-20℃)
宿 主: Rabbit
反應種屬: Human, Mouse, Rat
標 記 物: Unconjugate
克隆類型: rabbit polyclonal
技術規格
|
Background: |
This gene encodes a protein that has been reported to function in signaling pathways governing transcriptional regulation and cell cycle progression. It may play a role in tumorigenesis and metastasis. A pseudogene of this gene is located on the long arm of chromosome 20. Alternative splicing results in multiple transcript variants that encode different isoforms. |
|
Applications: |
ELISA, WB, IHC |
|
Name of antibody: |
CDK5RAP3 |
|
Immunogen: |
Fusion protein of human CDK5RAP3 |
|
Full name: |
CDK5 regulatory subunit associated protein 3 |
|
Synonyms: |
C53; IC53; LZAP; HSF-27; MST016; PP1553; OK/SW-cl.114 |
|
SwissProt: |
Q96JB5 |
|
ELISA Recommended dilution: |
1000-2000 |
|
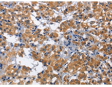
IHC positive control: |
Human thyroid cancer and human colon cancer |
|
IHC Recommend dilution: |
50-200 |
|
WB Predicted band size: |
57 kDa |
|
WB Positive control: |
Human normal liver tissue |
|
WB Recommended dilution: |
200-1000 |


購物車
幫助
021-54845833/15800441009
