中文名稱:兔抗HAS3多克隆抗體
英文名稱: Anti-HAS3 rabbit polyclonal antibody
別 名: hyaluronan synthase 3;
相關類別: 一抗
儲 存: 冷凍(-20℃)
宿 主: Rabbit
抗 原: HAS3
反應種屬: Human, Mouse
標記物: Unconjugate
克隆類型: rabbit polyclonal
Background:
The protein encoded by this gene is involved in the synthesis of the unbranched glycosaminoglycan hyaluronan, or hyaluronic acid, which is a major constituent of the extracellular matrix. This gene is a member of the NODC/HAS gene family. Compared to the proteins encoded by other members of this gene family, this protein appears to be more of a regulator of hyaluronan synthesis. Alternative splicing results in multiple transcript variants.
Applications:
ELISA, WB, IHC
Name of antibody:
HAS3
Immunogen:
Fusion protein of human HAS3
Full name:
hyaluronan synthase 3
SwissProt:
O00219
ELISA Recommended dilution:
5000-10000
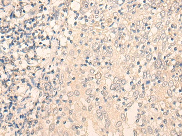
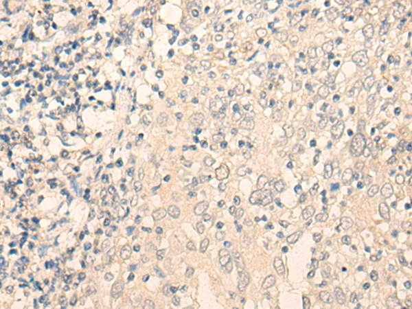
IHC positive control:
Human cervical cancer
IHC Recommend dilution:
25-100
WB Predicted band size:
63 kDa
WB Positive control:
Human cervical cancer tissue and A549 cell lysates
WB Recommended dilution:
500-2000
技術規格


購物車
幫助
021-54845833/15800441009
