中文名稱:兔抗CDK12多克隆抗體
英文名稱: Anti-CDK12 rabbit polyclonal antibody
別 名: CRK7; CRKR; CRKRS; hCDK12
相關類別: 一抗
抗 原: CDK12
儲 存: 冷凍(-20℃)
宿 主: Rabbit
反應種屬: Human, Mouse, Rat
標 記 物: Unconjugate
克隆類型: rabbit polyclonal
技術規格
|
Background: |
CrkRS (Cdc2-related kinase, arginine/serine-rich, also designated CRK7 and CRKR) is an ubiquitous protein that appears to localize to the nucleus and link transcription and splicing machinery. CrkRS belongs to the serine/threonine protein kinase family and Cdc2/Cdkx subfamily. CrkRS has extensive proline-rich regions that resemble SH3 and WW domain binding sites, and an RS domain that is characteristic of splicing factors. The protein kinase domain of CrkRS is 89% identical to the CHED protein kinase, also designated CDC2L5 and cell division cycle 2-like 5 (cholinesterase-related cell division controller), however outside the kinase domains the two proteins are unique. Cell cycle control kinases can phosphorylate proteins important for differentiation and apoptosis and provide connections between proliferation, differentiation, apoptosis, and neurocytoskeleton dynamics. |
|
Applications: |
ELISA, IHC |
|
Name of antibody: |
CDK12 |
|
Immunogen: |
Synthetic peptide of human CDK12 |
|
Full name: |
cyclin-dependent kinase 12 |
|
Synonyms: |
CRK7; CRKR; CRKRS; hCDK12 |
|
SwissProt: |
Q9NYV4 |
|
ELISA Recommended dilution: |
1000-2000 |
|
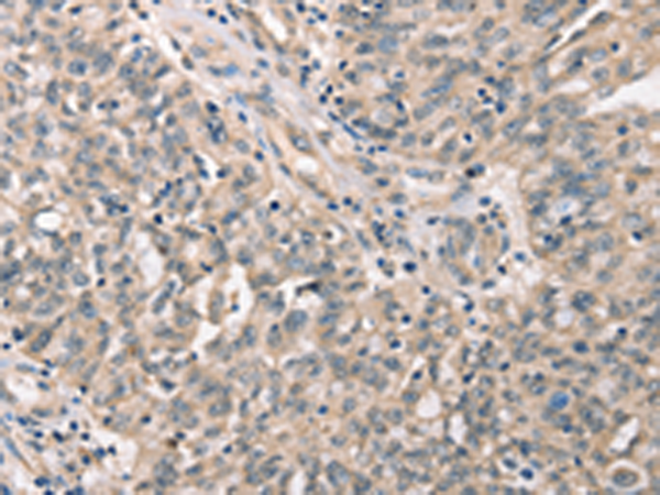
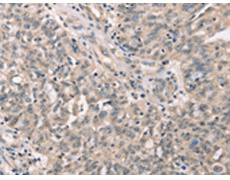
IHC positive control: |
Human ovarian cancer and Human cervical cancer |
|
IHC Recommend dilution: |
25-100 |

購物車
幫助
021-54845833/15800441009
