英文名稱: Anti-IL36A rabbit polyclonal antibody
克隆類型: rabbit polyclonal
Background:
The protein encoded by this gene is a cytokine that can activate NF-kappa-B and MAPK signaling pathways to generate an inflammatory response. The encoded protein functions primarily in skin and demonstrates increased expression in psoriasis. In addition, decreased expression of this gene has been linked to a poor prognosis in both hepatocellular carcinoma and colorectal cancer patients.
Applications:
ELISA, IHC
Name of antibody:
IL36A
Immunogen:
Synthetic peptide of human IL36A
Full name:
interleukin 36 alpha
Synonyms:
FIL1; FIL1E; IL1F6; IL-1F6; IL1(EPSILON); FIL1(EPSILON)
SwissProt:
Q9UHA7
ELISA Recommended dilution:
5000-10000
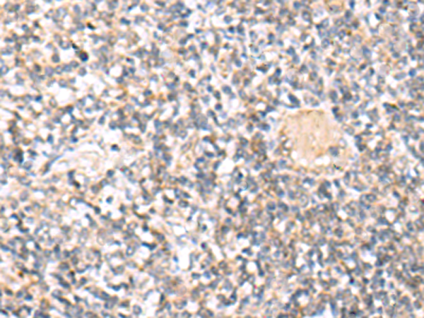
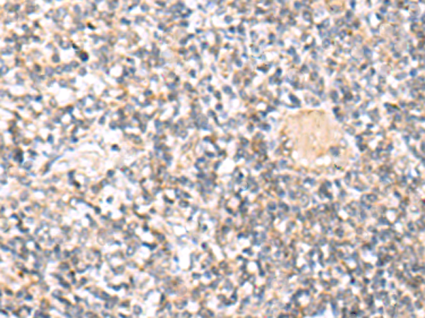
IHC positive control:
Human tonsil
IHC Recommend dilution:
25-100
技術規格


購物車
幫助
021-54845833/15800441009
