中文名稱:兔抗UBE2U多克隆抗體
英文名稱: Anti-UBE2U rabbit polyclonal antibody
相關類別: 一抗
抗 原: UBE2U
儲 存: 冷凍(-20℃)
宿 主: Rabbit
反應種屬: Human
標 記 物: Unconjugate
克隆類型: rabbit polyclonal
技術規格
|
Background: |
UBE2U (ubiquitin-conjugating enzyme E2U) is a 321 amino acid E2 ubiquitin conjugating enzyme that catalyzes the covalent attachment of ubiquitin to other proteins. Existing as two alternatively spliced isoforms, UBE2U is encoded by a gene located on human chromosome 1, which spans 260 million base pairs, contains over 3,000 genes and comprises nearly 8% of the human genome. |
|
Applications: |
ELISA, IHC |
|
Name of antibody: |
UBE2U |
|
Immunogen: |
Fusion protein of human UBE2U |
|
Full name: |
ubiquitin-conjugating enzyme E2U (putative) |
|
SwissProt: |
Q5VVX9 |
|
ELISA Recommended dilution: |
5000-10000 |
|
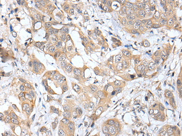
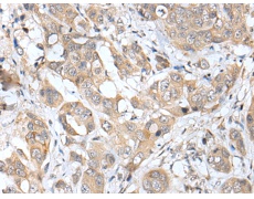
IHC positive control: |
Human breast cancer |
|
IHC Recommend dilution: |
25-100 |

購物車
幫助
021-54845833/15800441009
