中文名稱: 兔抗PLA2G4D多克隆抗體
英文名稱: Anti-PLA2G4D rabbit polyclonal antibody
別 名: cPLA2delta
相關類別: 一抗
抗 原: PLA2G4D
儲 存: 冷凍(-20℃)
宿 主: Rabbit
反應種屬: Human
標 記 物: Unconjugate
克隆類型: rabbit polyclonal
技術規格
|
Background: |
The phospholipase A2 enzyme family, including PLA2G4D, catalyze the hydrolysis of glycerophospholipids at the sn-2 position and then liberate free fatty acids and lysophospholipids (Chiba et al., 2004 [PubMed 14709560]). |
|
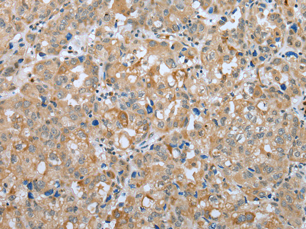
Applications: |
ELISA, IHC |
|
Name of antibody: |
PLA2G4D |
|
Immunogen: |
Fusion protein of human PLA2G4D |
|
Full name: |
phospholipase A2, group IVD (cytosolic) |
|
Synonyms: |
cPLA2delta |
|
SwissProt: |
Q86XP0 |
|
ELISA Recommended dilution: |
5000-10000 |
|
IHC positive control: |
Human ovarian cancer |
|
IHC Recommend dilution: |
25-100 |

購物車
幫助
021-54845833/15800441009
