|
Background: |
Core component of multiple SCF-like ECS (Elongin-Cullin 2/5-SOCS-box protein) E3 ubiquitin-protein ligase complexes, which mediate the ubiquitination and subsequent proteasomal degradation of target proteins. As a scaffold protein may contribute to catalysis through positioning of the substrate and the ubiquitin-conjugating enzyme. The functional specificity of the E3 ubiquitin-protein ligase complex depends on the variable substrate recognition component. ECS(SOCS1) seems to direct ubiquitination of JAK2. Seems to be involved in proteosomal degradation of p53/TP53 stimulated by adenovirus E1B-55 kDa protein. May form a cell surface vasopressin receptor. |
|
Applications: |
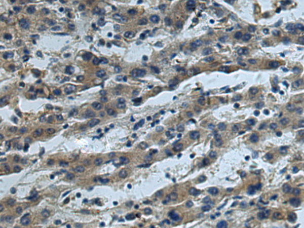
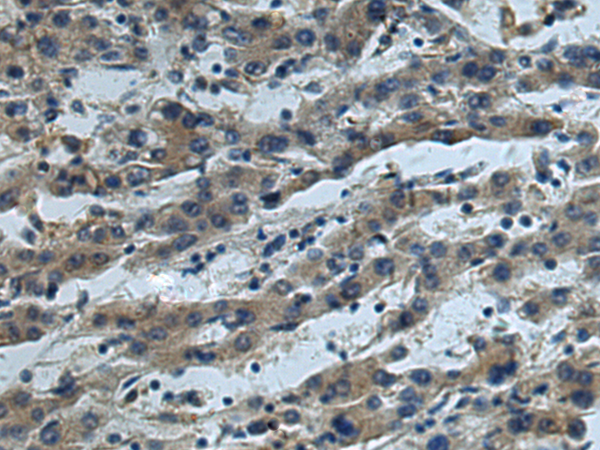
ELISA, IHC |
|
Name of antibody: |
CUL5 |
|
Immunogen: |
Fusion protein of human CUL5 |
|
Full name: |
cullin 5 |
|
Synonyms: |
CUL-5; VACM1; VACM-1 |
|
SwissProt: |
Q93034 |
|
ELISA Recommended dilution: |
5000-10000 |
|
IHC positive control: |
Human tonsil and Human liver cancer |
|
IHC Recommend dilution: |
50-200 |

購物車
幫助
021-54845833/15800441009
