中文名稱:兔抗ADCY9多克隆抗體
|
Background: |
Adenylate cyclase is a membrane bound enzyme that catalyses the formation of cyclic AMP from ATP. It is regulated by a family of G protein-coupled receptors, protein kinases, and calcium. The type 9 adenylyl cyclase is a widely distributed adenylyl cyclase, and it is stimulated by beta-adrenergic receptor activation but is insensitive to forskolin, calcium, and somatostatin. |
|
Applications: |
WB, IHC |
|
Name of antibody: |
ADCY9 |
|
Immunogen: |
Synthesized peptide derived from N-terminal of human ADCY9. |
|
Full name: |
adenylate cyclase 9 |
|
Synonyms: |
AC9 |
|
SwissProt: |
O60503 |
|
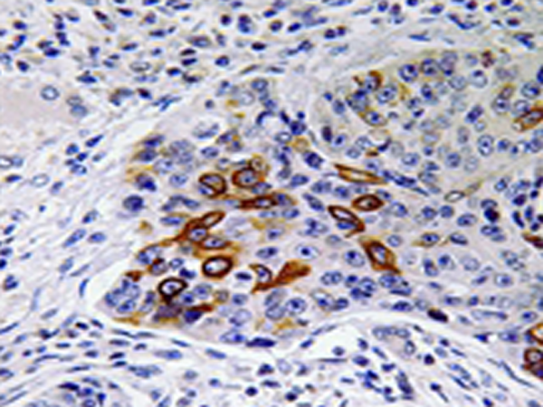
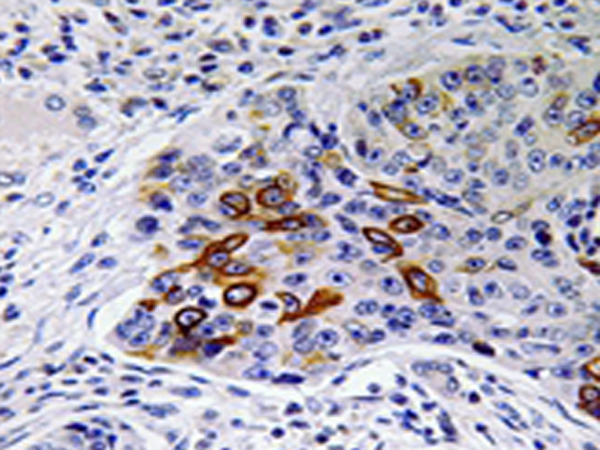
IHC positive control: |
Human lung carcinoma tissue |
|
IHC Recommend dilution: |
50-100 |
|
WB Predicted band size: |
151 kDa |
|
WB Positive control: |
Huvec cells lysate |
|
WB Recommended dilution: |
500-3000 |
購物車
幫助
021-54845833/15800441009
