中文名稱: 兔抗HCRT/pan Orexin 多克隆抗體
英文名稱: Anti-HCRT rabbit polyclonal antibody
相關類別: 一抗
儲 存: 冷凍(-20℃)
標 記 物: Unconjugate
技術規格
|
Background: |
This gene encodes a hypothalamic neuropeptide precursor protein that gives rise to two mature neuropeptides, orexin A and orexin B, by proteolytic processing. Orexin A and orexin B, which bind to orphan G-protein coupled receptors HCRTR1 and HCRTR2, function in the regulation of sleep and arousal. This neuropeptide arrangement may also play a role in feeding behavior, metabolism, and homeostasis. |
|
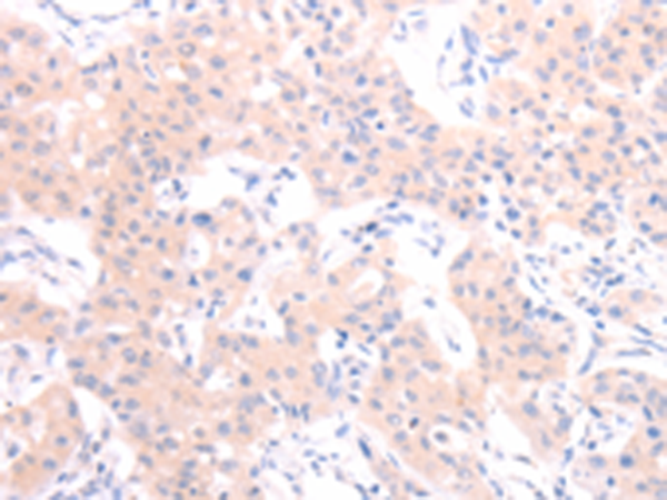
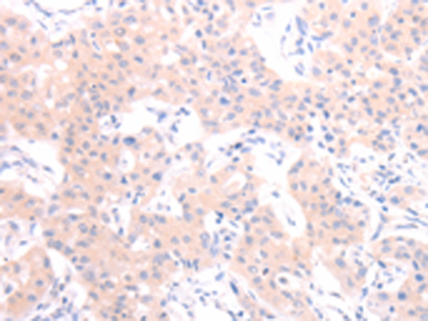
Applications: |
ELISA, IHC |
|
Name of antibody: |
HCRT/pan Orexin |
|
Immunogen: |
Synthetic peptide of human HCRT/pan Orexin |
|
Full name: |
hypocretin (orexin) neuropeptide precursor |
|
Synonyms: |
OX; PPOX; NRCLP1 |
|
SwissProt: |
O43612 |
|
ELISA Recommended dilution: |
2000-5000 |
|
IHC positive control: |
Human lung cancer |
|
IHC Recommend dilution: |
25-100 |


購物車
幫助
021-54845833/15800441009
