別 名: PRO0593
抗 原: HIPK2
儲 存: 冷凍(-20℃)
宿 主: Rabbit
標 記 物: Unconjugate
克隆類型: rabbit polyclonal
技術規格
|
Background: |
This gene encodes a conserved serine/threonine kinase that is a member of the homeodomain-interacting protein kinase family. The encoded protein interacts with homeodomain transcription factors and many other transcription factors such as p53, and can function as both a corepressor and a coactivator depending on the transcription factor and its subcellular localization. Multiple transcript variants encoding different isoforms have been found for this gene. |
|
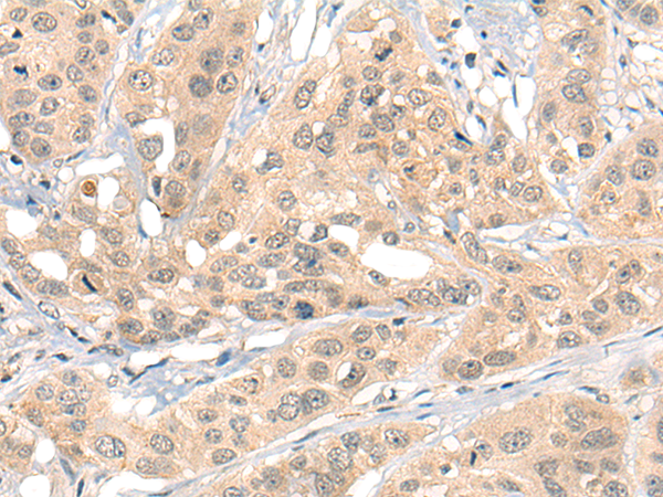
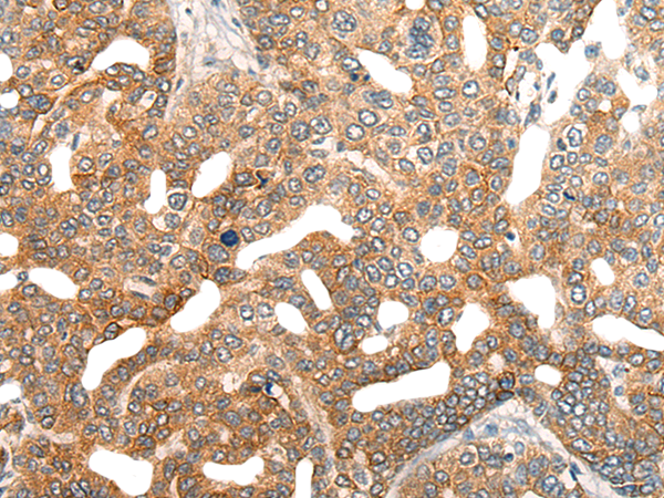
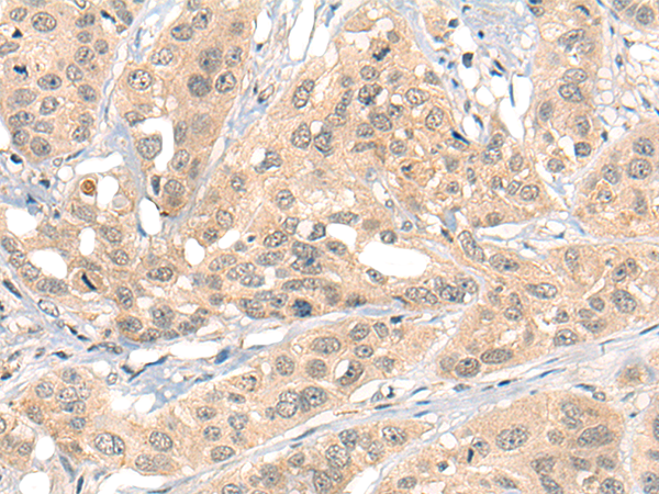
Applications: |
ELISA, IHC |
|
Name of antibody: |
HIPK2 |
|
Immunogen: |
Synthetic peptide of human HIPK2 |
|
Full name: |
homeodomain interacting protein kinase 2 |
|
Synonyms: |
PRO0593 |
|
SwissProt: |
Q9H2X6 |
|
ELISA Recommended dilution: |
5000-10000 |
|
IHC positive control: |
Human liver cancer and human lung cancer |
|
IHC Recommend dilution: |
25-100 |



購物車
幫助
021-54845833/15800441009
