中文名稱: 兔抗MMP25多克隆抗體
英文名稱: Anti-MMP25 rabbit polyclonal antibody
別 名: MMP20, MMPL1, MMP-25, MMP20A, MT6MMP, MTMMP6, MT-MMP6, MT6-MMP, MT-MMP 6
相關類別: 一抗
儲 存: 冷凍(-20℃)
宿 主: Rabbit
抗 原: MMP25
反應種屬: Human
標 記 物: Unconjugate
克隆類型: rabbit polyclonal
技術規格
|
Background: |
Proteins of the matrix metalloproteinase (MMP) family are involved in the breakdown of extracellular matrix in normal physiological processes, such as embryonic development, reproduction, and tissue remodeling, as well as in disease processes, such as arthritis and metastasis. Most MMPs are secreted as inactive proproteins which are activated when cleaved by extracellular proteinases. However, the protein encoded by this gene is a member of the membrane-type MMP (MT-MMP) subfamily, attached to the plasma membrane via a glycosylphosphatidyl inositol anchor. In response to bacterial infection or inflammation, the encoded protein is thought to inactivate alpha-1 proteinase inhibitor, a major tissue protectant against proteolytic enzymes released by activated neutrophils, facilitating the transendothelial migration of neutrophils to inflammatory sites. The encoded protein may also play a role in tumor invasion and metastasis through activation of MMP2. The gene has previously been referred to as MMP20 but has been renamed MMP25. |
|
Applications: |
ELISA, WB, IHC |
|
Name of antibody: |
MMP25 |
|
Immunogen: |
Synthetic peptide of human MMP25 |
|
Full name: |
matrix metallopeptidase 25 |
|
Synonyms: |
MMP20, MMPL1, MMP-25, MMP20A, MT6MMP, MTMMP6, MT-MMP6, MT6-MMP, MT-MMP 6 |
|
SwissProt: |
Q9NPA2 |
|
ELISA Recommended dilution: |
2000-5000 |
|
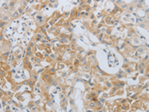
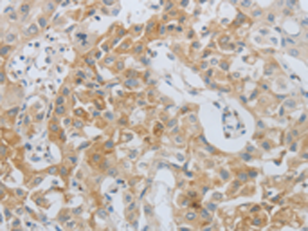
IHC positive control: |
Human lung cancer and Human liver cancer |
|
IHC Recommend dilution: |
50-200 |
|
WB Predicted band size: |
63 kDa |
|
WB Positive control: |
823 cells |
|
WB Recommended dilution: |
500-2000 |


購物車
幫助
021-54845833/15800441009
