相關類別: 一抗
標 記 物: Unconjugate
技術規格
|
Background: |
Histones are basic nuclear proteins that are responsible for the nucleosome structure of the chromosomal fiber in eukaryotes. Nucleosomes consist of approximately 146 bp of DNA wrapped around a histone octamer composed of pairs of each of the four core histones (H2A, H2B, H3, and H4). The chromatin fiber is further compacted through the interaction of a linker histone, H1, with the DNA between the nucleosomes to form higher order chromatin structures. This gene is intronless and encodes a member of the histone H2A family. |
|
Applications: |
IHC |
|
Name of antibody: |
Histone H2A |
|
Immunogen: |
Synthesized peptide derived from Internal of human Histone H2A. |
|
Full name: |
histone cluster 1, H2ae |
|
Synonyms: |
H2A.1; H2A.2; H2A/a; H2AFA |
|
SwissProt: |
P0C0S8/P04908/P20671/Q96KK5/Q6FI13/Q7L7L0 |
|
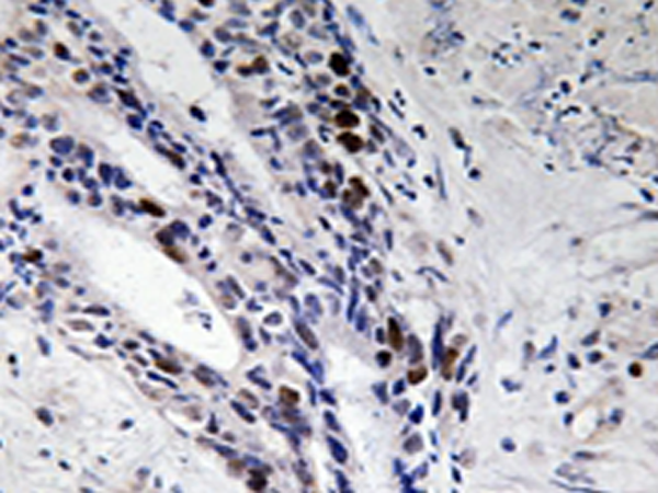
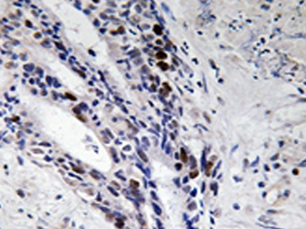
IHC positive control: |
Human colon carcinoma tissue |
|
IHC Recommend dilution: |
50-100 |


購物車
幫助
021-54845833/15800441009
