儲 存: 冷凍(-20℃)
標 記 物: Unconjugate
克隆類型: rabbit polyclonal
技術規格
|
Background: |
HLA-B belongs to the HLA class I heavy chain paralogues. This class I molecule is a heterodimer consisting of a heavy chain and a light chain (beta-2 microglobulin). The heavy chain is anchored in the membrane. Class I molecules play a central role in the immune system by presenting peptides derived from the endoplasmic reticulum lumen. They are expressed in nearly all cells. The heavy chain is approximately 45 kDa and its gene contains 8 exons. Exon 1 encodes the leader peptide, exon 2 and 3 encode the alpha1 and alpha2 domains, which both bind the peptide, exon 4 encodes the alpha3 domain, exon 5 encodes the transmembrane region and exons 6 and 7 encode the cytoplasmic tail. Polymorphisms within exon 2 and exon 3 are responsible for the peptide binding specificity of each class one molecule. Typing for these polymorphisms is routinely done for bone marrow and kidney transplantation. Hundreds of HLA-B alleles have been described. |
|
Applications: |
ELISA, WB, IHC |
|
Name of antibody: |
HLA-B |
|
Immunogen: |
Synthetic peptide of human HLA-B |
|
Full name: |
major histocompatibility complex, class I, B |
|
Synonyms: |
AS; HLAB; B-4901 |
|
SwissProt: |
P01889 |
|
ELISA Recommended dilution: |
5000-10000 |
|
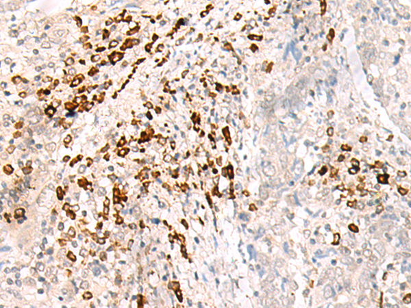
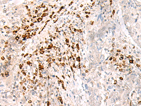
IHC positive control: |
Human cervical cancer |
|
IHC Recommend dilution: |
30-150 |
|
WB Predicted band size: |
40 kDa |
|
WB Positive control: |
A549 cell lysate |
|
WB Recommended dilution: |
500-2000 |



購物車
幫助
021-54845833/15800441009
