|
Background: |
The protein encoded by this gene is a T cell-derived cytokine that shares sequence similarity with IL17. This cytokine was reported to stimulate the release of TNF alpha (TNF) and IL1 beta (IL1B) from a monocytic cell line. Immunohistochemical analysis of several nerve tissues indicated that this cytokine is primarily localized to neuronal cell bodies. Alternative splicing results in multiple splice variants. |
|
Applications: |
ELISA, IHC |
|
Name of antibody: |
IL17B |
|
Immunogen: |
Synthetic peptide of human IL17B |
|
Full name: |
interleukin 17B |
|
Synonyms: |
NIRF; IL-20; IL-17B; ZCYTO7 |
|
SwissProt: |
Q9UHF5 |
|
ELISA Recommended dilution: |
5000-10000 |
|
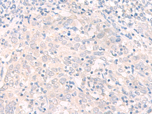
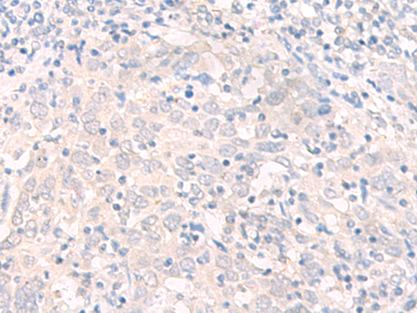
IHC positive control: |
Human cervical cancer |
|
IHC Recommend dilution: |
10-50 |

購(gòu)物車
幫助
021-54845833/15800441009
