技術規格
|
Background: |
The Interferon family of proteins are able to alter the expression of a variety of target genes, thereby controlling various events within the cell. IFI-35 (Interferon-induced 35 kDa protein), also known as IFP35, is a 286 amino acid interferon-induced protein. Localized to the nucleus and expressed in macrophages, fibroblasts and epithelial cells, IFI-35 is a leucine zipper protein that can form homodimers, but, unlike most leucine zipper proteins, cannot bind DNA. Upon induction by IFN-α, IFI-35 associates with Nmi (N-Myc-interacting protein), resulting in the formation of a high molecular weight complex that is thought to play a role in IFN-α signaling and cellular responses. Once complexed with Nmi, IFI-35 is unable to be degraded by the proteasome, suggesting that IFI-35 is protected from degradation only when needed by IFN-α. Two isoforms of IFI-35 exist due to alternative splicing events. |
|
Applications: |
ELISA, IHC |
|
Name of antibody: |
IFI35 |
|
Immunogen: |
Synthetic peptide of human IFI35 |
|
Full name: |
interferon induced protein 35 |
|
Synonyms: |
IFP35 |
|
SwissProt: |
P80217 |
|
ELISA Recommended dilution: |
5000-10000 |
|
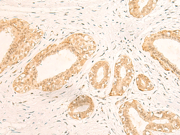
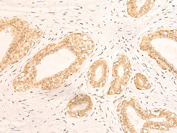
IHC positive control: |
Human breast cancer |
|
IHC Recommend dilution: |
30-150 |

購物車
幫助
021-54845833/15800441009
