英文名稱: Anti-ITSN2 rabbit polyclonal antibody
技術規格
|
Background: |
This gene encodes a cytoplasmic protein which contains SH3 domains. This protein is a member of a family of proteins involved in clathrin-mediated endocytosis. Intersectin 2 is thought to regulate the formation of clathrin-coated vesicles and also may function in the induction of T cell antigen receptor (TCR) endocytosis. |
|
Applications: |
ELISA, IHC |
|
Name of antibody: |
ITSN2 |
|
Immunogen: |
Synthetic peptide of human ITSN2 |
|
Full name: |
intersectin 2 |
|
Synonyms: |
SWA; SWAP; SH3D1B; SH3P18; PRO2015 |
|
SwissProt: |
Q9NZM3 |
|
ELISA Recommended dilution: |
5000-10000 |
|
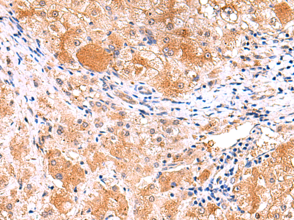
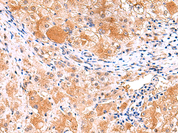
IHC positive control: |
Human tonsil and Human liver cancer |
|
IHC Recommend dilution: |
40-200 |


購物車
幫助
021-54845833/15800441009
