中文名稱: 兔抗FYTTD1多克隆抗體
技術規格
|
Background: |
Required for mRNA export from the nucleus to the cytoplasm. Acts as an adapter that uses the DDX39B/UAP56-NFX1 pathway to ensure efficient mRNA export and delivering to the nuclear pore. Associates with spliced and unspliced mRNAs simultaneously with ALYREF/THOC4. |
|
Applications: |
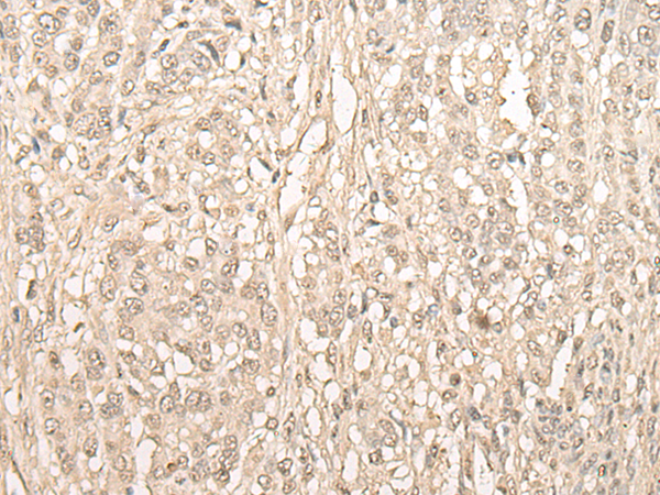
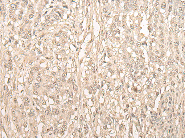
ELISA, IHC |
|
Name of antibody: |
FYTTD1 |
|
Immunogen: |
Fusion protein of human FYTTD1 |
|
Full name: |
forty-two-three domain containing 1 |
|
Synonyms: |
UIF |
|
SwissProt: |
Q96QD9 |
|
ELISA Recommended dilution: |
5000-10000 |
|
IHC positive control: |
Human lung cancer and Human ovarian cancer |
|
IHC Recommend dilution: |
30-150 |


購物車
幫助
021-54845833/15800441009
