別 名: interleukin 32; NK4; TAIF; TAIFa; TAIFb; TAIFc; TAIFd; IL-32beta; IL-32alpha; IL-32delta; IL-32gamma
Background:
This gene encodes a member of the cytokine family. The protein contains a tyrosine sulfation site, 3 potential N-myristoylation sites, multiple putative phosphorylation sites, and an RGD cell-attachment sequence. Expression of this protein is increased after the activation of T-cells by mitogens or the activation of NK cells by IL-2. This protein induces the production of TNFalpha from macrophage cells. Alternate transcriptional splice variants, encoding different isoforms, have been characterized.
Applications:
ELISA, IHC
Name of antibody:
IL32
Immunogen:
Synthetic peptide of human IL32
Full name:
interleukin 32
Synonyms:
NK4; TAIF; TAIFa; TAIFb; TAIFc; TAIFd; IL-32beta; IL-32alpha; IL-32delta; IL-32gamma
SwissProt:
P24001
ELISA Recommended dilution:
5000-10000
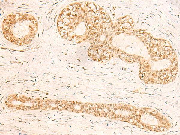
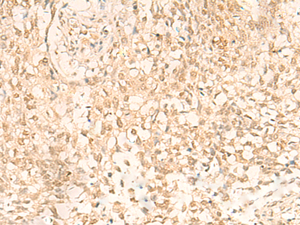
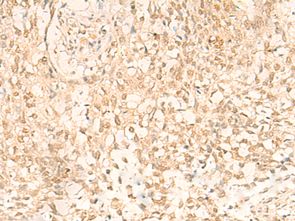
IHC positive control:
Human lung cancer and Human breast cancer
IHC Recommend dilution:
20-100
技術規格

購物車
幫助
021-54845833/15800441009
