中文名稱:兔抗SLC8B1多克隆抗體
英文名稱: Anti-SLC8B1 rabbit polyclonal antibody
別 名: NCLX; NCKX6; SLC24A6
相關類別: 一抗
儲 存: 冷凍(-20℃)
宿 主:Rabbit
抗 原: SLC24A6
反應種屬: Human, Mouse, Rat
標記物: Unconjugate
克隆類型: rabbit polyclonal
Background:
Mitochondrial sodium/calcium antiporter that mediates sodium-dependent calcium efflux from mitochondrion, thereby acting as a key regulator of mitochondrion calcium homeostasis. Regulates rates of glucose-dependent insulin secretion in pancreatic beta-cells during the first phase of insulin secretion: acts by mediating efflux of calcium from mitochondrion, thereby affecting cytoplasmic calcium responses. Able to transport Ca2+ in exchange of either Li+ or Na+, explaining how Li+ catalyzes Ca2+ exchange. In contrast to other members of the family its function is independent of K+.
Applications:
ELISA, IHC
Name of antibody:
SLC8B1
Immunogen:
Synthetic peptide of human SLC8B1
Full name:
solute carrier family 8 member B1
Synonyms:
NCLX; NCKX6; SLC24A6
SwissProt:
Q6J4K2
ELISA Recommended dilution:
1000-2000
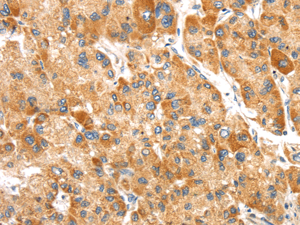
IHC positive control:
Human liver cancer and human tonsil
IHC Recommend dilution:
25-100
技術規格


購物車
幫助
021-54845833/15800441009
