中文名稱: 兔抗NME4多克隆抗體
英文名稱: Anti-NME4 rabbit polyclonal antibody
別 名: NME/NM23 nucleoside diphosphate kinase 4 NDPK-D; NM23H4; nm23-H4
抗 原: NME4
儲 存: 冷凍(-20℃)
宿 主: Rabbit
反應種屬: Human, Mouse
相關類別: 一抗
標 記 物: Unconjugate
克隆類型: rabbit polyclonal
技術規格
|
Background: |
The nucleoside diphosphate (NDP) kinases (EC 2.7.4.6) are ubiquitous enzymes that catalyze transfer of gamma-phosphates, via a phosphohistidine intermediate, between nucleoside and dioxynucleoside tri- and diphosphates. The enzymes are products of the nm23 gene family, which includes NME4 (Milon et al., 1997 [PubMed 9099850]). |
|
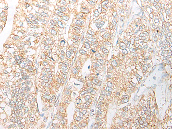
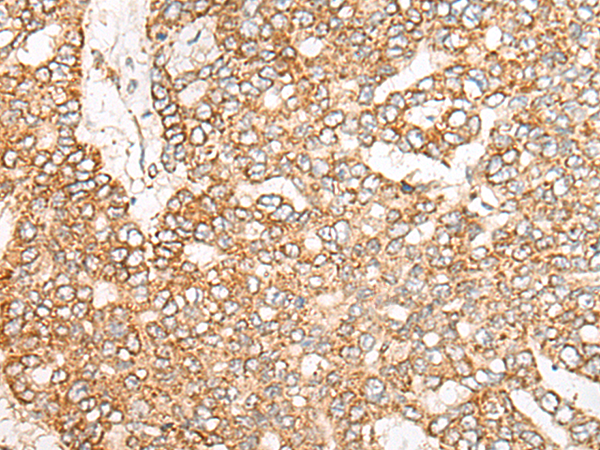
Applications: |
ELISA, IHC |
|
Name of antibody: |
NME4 |
|
Immunogen: |
Fusion protein of human NME4 |
|
Full name: |
NME/NM23 nucleoside diphosphate kinase 4 |
|
Synonyms: |
NDPK-D; NM23H4; nm23-H4 |
|
SwissProt: |
O00746 |
|
ELISA Recommended dilution: |
1000-2000 |
|
IHC positive control: |
Human liver cancer; Human gastric cancer |


購物車
幫助
021-54845833/15800441009
