中文名稱: 兔抗ABLIM1多克隆抗體
英文名稱: Anti-ABLIM1 rabbit polyclonal antibody
別 名: ABLIM; LIMAB1; LIMATIN; abLIM-1
抗 原: ABLIM1
宿 主: Rabbit
相關類別: 一抗
反應種屬: Human, Mouse
標 記 物: Unconjugate
克隆類型: rabbit polyclonal
技術規格
|
Background: |
This gene encodes a cytoskeletal LIM protein that binds to actin filaments via a domain that is homologous to erythrocyte dematin. LIM domains, found in over 60 proteins, play key roles in the regulation of developmental pathways. LIM domains also function as protein-binding interfaces, mediating specific protein-protein interactions. The protein encoded by this gene could mediate such interactions between actin filaments and cytoplasmic targets. Alternatively spliced transcript variants encoding different isoforms have been identified. |
|
Applications: |
ELISA, WB, IHC |
|
Name of antibody: |
ABLIM1 |
|
Immunogen: |
Fusion protein of human ABLIM1 |
|
Full name: |
Actin binding LIM protein 1 |
|
Synonyms: |
ABLIM; LIMAB1; LIMATIN; abLIM-1 |
|
SwissProt: |
O14639 |
|
ELISA Recommended dilution: |
2000-5000 |
|
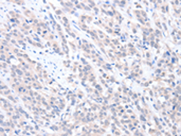
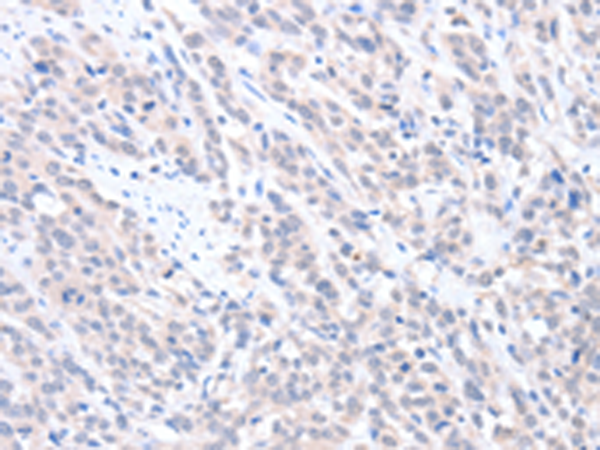
IHC positive control: |
Human esophagus cancer |
|
IHC Recommend dilution: |
15-50 |
|
WB Predicted band size: |
88 kDa |
|
WB Positive control: |
Mouse heart tissue |
|
WB Recommended dilution: |
500-2000 |
購物車
幫助
021-54845833/15800441009
