中文名稱: 兔抗GABARAPL2多克隆抗體
|
Background: |
Ubiquitin-like modifier involved in intra-Golgi traffic. Modulates intra-Golgi transport through coupling between NSF activity and SNAREs activation. It first stimulates the ATPase activity of NSF which in turn stimulates the association with GOSR1 (By similarity). Involved in autophagy. Plays a role in mitophagy which contributes to regulate mitochondrial quantity and quality by eliminating the mitochondria to a basal level to fulfill cellular energy requirements and preventing excess ROS production. Whereas LC3s are involved in elongation of the phagophore membrane, the GABARAP/GATE-16 subfamily is essential for a later stage in autophagosome maturation. |
|
Applications: |
ELISA, IHC |
|
Name of antibody: |
GABARAPL2 |
|
Immunogen: |
Fusion protein of human GABARAPL2 |
|
Full name: |
GABA type A receptor associated protein like 2 |
|
Synonyms: |
ATG8; GEF2; ATG8C; GEF-2; GATE16; GATE-16 |
|
SwissProt: |
P60520 |
|
ELISA Recommended dilution: |
5000-10000 |
|
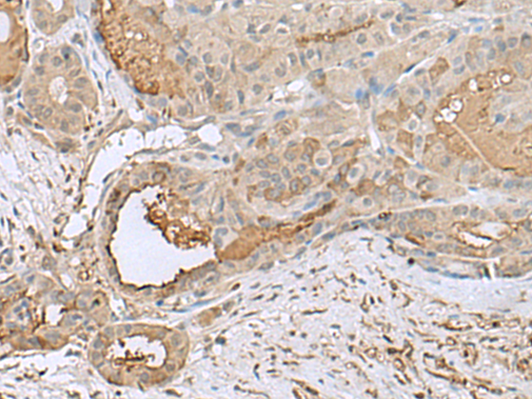
IHC positive control: |
Human thyroid cancer |
|
IHC Recommend dilution: |
40-200 |

購(gòu)物車
幫助
021-54845833/15800441009
