英文名稱: Anti-KDM2B rabbit polyclonal antibody
別 名: lysine demethylase 2B; CXXC2; Fbl10; PCCX2; FBXL10; JHDM1B
反應種屬: Human, Mouse
技術規格
|
Background: |
This gene encodes a member of the F-box protein family which is characterized by an approximately 40 amino acid motif, the F-box. The F-box proteins constitute one of the four subunits of ubiquitin protein ligase complex called SCFs (SKP1-cullin-F-box), which function in phosphorylation-dependent ubiquitination. The F-box proteins are divided into 3 classes: Fbws containing WD-40 domains, Fbls containing leucine-rich repeats, and Fbxs containing either different protein-protein interaction modules or no recognizable motifs. The protein encoded by this gene belongs to the Fbls class. Multiple alternatively spliced transcript variants have been found for this gene, but the full-length nature of some variants has not been determined. |
|
Applications: |
ELISA, IHC |
|
Name of antibody: |
KDM2B |
|
Immunogen: |
Synthetic peptide of human KDM2B |
|
Full name: |
lysine demethylase 2B |
|
Synonyms: |
CXXC2; Fbl10; PCCX2; FBXL10; JHDM1B |
|
SwissProt: |
Q8NHM5 |
|
ELISA Recommended dilution: |
5000-10000 |
|
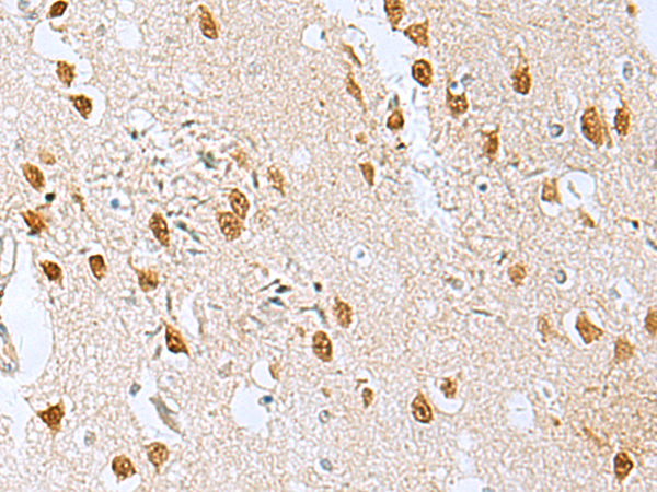
IHC positive control: |
Human breast cancer and Human brain |
|
IHC Recommend dilution: |
50-200 |


購物車
幫助
021-54845833/15800441009
