中文名稱:兔抗C1R多克隆抗體
|
Background: |
C1r B chain is a serine protease that combines with C1q and C1s to form C1, the first component of the classical pathway of the complement system. |
|
Applications: |
ELISA, WB, IHC |
|
Name of antibody: |
C1R |
|
Immunogen: |
Fusion protein of human C1R |
|
Full name: |
complement C1r subcomponent |
|
SwissProt: |
P00736 |
|
ELISA Recommended dilution: |
5000-10000 |
|
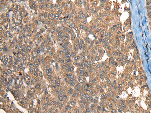
IHC positive control: |
Human liver cancer; |
|
IHC Recommend dilution: |
40-200 |
|
WB Predicted band size: |
80 kDa |
|
WB Positive control: |
Human plasma solution |
|
WB Recommended dilution: |
500-2000 |


購物車
幫助
021-54845833/15800441009
